Skip to content Skip to sidebar Skip to footer

Blurred Vision After Ct Scan

Sudden Onset Blurred Vision With Visual Floaters In A 51 Year Old Man The Lancet Rheumatology

Sudden Onset Blurred Vision With Visual Floaters In A 51 Year Old Man The Lancet Rheumatology

Blurred vision after ct scan. But with these exams doctors and. A 36-year-old member asked. Do i need an.

Changes in vision associated with brain tumours can include blurred vision for example you may find it has become difficult to watch TV or read. When i wake up i have doubleblurred vision in left eye. Case Report A 76-year-old man with a history of hypertension was admitted with a.

Gadolinium 7 years ago. The rest of examination was unremarkable. If yes that could be a problem.

Answer 1 of 4. Blurred vision after MRI. Abnormal Pancreatic CT Scan Abnormal Somatostatin Receptor Scan Blurred Vision Symptom Checker.

It is caused by intracranial hypertension IH or increased. I would strongly recommend a 24-hour Gadolinium urine. If you experience any vision issues after a car accident you may have a concussion retinal detachment or.

I have toxicity from the contrast agent used in the MRI. Usually peristaltic movement would. TBI-related vision defects can.

Do you have any implants in your eyes. You may get a fleeting loss of vision.

A 16 Year Old Boy Who Presented With Headache And Blurred Vision Axial Download Scientific Diagram

A 16 Year Old Boy Who Presented With Headache And Blurred Vision Axial Download Scientific Diagram

A Middle Aged Male With Progressing Blurry Vision Consultant360

A Middle Aged Male With Progressing Blurry Vision Consultant360

A Middle Aged Male With Progressing Blurry Vision Consultant360

A Middle Aged Male With Progressing Blurry Vision Consultant360

Progressive Blurred Vision In A 44 Year Old Woman The Bmj

Progressive Blurred Vision In A 44 Year Old Woman The Bmj

Images Of A 41 Year Old Man Who Presented With Blurred Vision And Download Scientific Diagram

Images Of A 41 Year Old Man Who Presented With Blurred Vision And Download Scientific Diagram

Case 1 43 Year Old Man With Diplopia Blurred Vision And Occipital Download Scientific Diagram

Case 1 43 Year Old Man With Diplopia Blurred Vision And Occipital Download Scientific Diagram

What Does Blurry Vision Really Mean After Stroke The Stroke Blog

What Does Blurry Vision Really Mean After Stroke The Stroke Blog

Transient Cortical Blindness Following Coronary Angiography Sciencedirect

Transient Cortical Blindness Following Coronary Angiography Sciencedirect

Mr Findings Of Cortical Blindness Following Cerebral Angiography Is This Entity Related To Posterior Reversible Leukoencephalopathy American Journal Of Neuroradiology

Mr Findings Of Cortical Blindness Following Cerebral Angiography Is This Entity Related To Posterior Reversible Leukoencephalopathy American Journal Of Neuroradiology

Neuroimaging 101 For The Optometrist

Neuroimaging 101 For The Optometrist

Headache Blurred Vision

Headache Blurred Vision

Mr Findings Of Cortical Blindness Following Cerebral Angiography Is This Entity Related To Posterior Reversible Leukoencephalopathy American Journal Of Neuroradiology

Mr Findings Of Cortical Blindness Following Cerebral Angiography Is This Entity Related To Posterior Reversible Leukoencephalopathy American Journal Of Neuroradiology

A 6 Year Old Boy Was Investigated For Symptoms Of Blurred Vision Right Download Scientific Diagram

A 6 Year Old Boy Was Investigated For Symptoms Of Blurred Vision Right Download Scientific Diagram

Transient Cortical Blindness Following Coronary Angiography Sciencedirect

Transient Cortical Blindness Following Coronary Angiography Sciencedirect

Zooming Closeup View Frontal Plain Coronal Stock Photo 1115730110 Shutterstock

Zooming Closeup View Frontal Plain Coronal Stock Photo 1115730110 Shutterstock

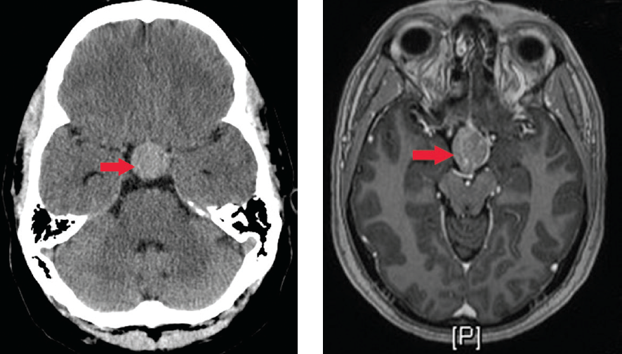
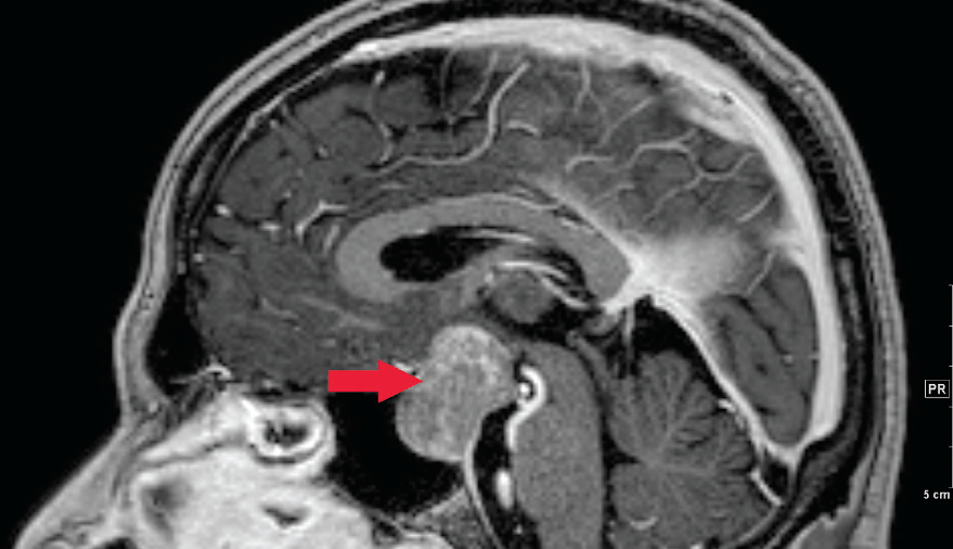
Case 25 1995 A 44 Year Old Woman With Headache Blurred Vision And An Intrasellar Mass Nejm

Case 25 1995 A 44 Year Old Woman With Headache Blurred Vision And An Intrasellar Mass Nejm

Brain Fog Blurry Vision Speech Problems Fatigue Neck Pain Apathy And Derealisation Neurological Disorders Forums Patient

Brain Fog Blurry Vision Speech Problems Fatigue Neck Pain Apathy And Derealisation Neurological Disorders Forums Patient

Bifrontal Headache Blurred Vision Vomiting Dx Mdedge Family Medicine

Bifrontal Headache Blurred Vision Vomiting Dx Mdedge Family Medicine

Headache Blurred Vision

Headache Blurred Vision

Mri Brain Of A 36 Year Old Woman A D With Subacute Onset Headache Download Scientific Diagram

Mri Brain Of A 36 Year Old Woman A D With Subacute Onset Headache Download Scientific Diagram

Epos Trade

Epos Trade

Scielo Brasil Clinical And Radiological Aspects Of Bilateral Temporal Abnormalities Pictorial Essay Clinical And Radiological Aspects Of Bilateral Temporal Abnormalities Pictorial Essay

Scielo Brasil Clinical And Radiological Aspects Of Bilateral Temporal Abnormalities Pictorial Essay Clinical And Radiological Aspects Of Bilateral Temporal Abnormalities Pictorial Essay

Case Challenge A 48 Year Old Man With Transient Vision Loss Nejm

Case Challenge A 48 Year Old Man With Transient Vision Loss Nejm

1

1

Neuroimaging 101 For The Optometrist

Neuroimaging 101 For The Optometrist

Unusual Mr Findings Of The Brain Stem In Arterial Hypertension American Journal Of Neuroradiology

Unusual Mr Findings Of The Brain Stem In Arterial Hypertension American Journal Of Neuroradiology

52 Year Old Female Patient With Blurred Vision Swollen And Painful Joints Chest X Ray Interpretation

52 Year Old Female Patient With Blurred Vision Swollen And Painful Joints Chest X Ray Interpretation

Progressive Blurred Vision In A 44 Year Old Woman The Bmj

Progressive Blurred Vision In A 44 Year Old Woman The Bmj

Blurred Vision And Headache Causes Treatment Emergency Care

Blurred Vision And Headache Causes Treatment Emergency Care

Teen With Headache Blurred Vision And Ocular Proptosis And Ptosis Consultant360

Teen With Headache Blurred Vision And Ocular Proptosis And Ptosis Consultant360

Ocular Symptoms Related To Chiari Disease

Ocular Symptoms Related To Chiari Disease

Cranial Ct Scan Purpose Procedure And Precautions

Cranial Ct Scan Purpose Procedure And Precautions

Weakness Blurred Vision In A Young Woman With Headaches

Weakness Blurred Vision In A Young Woman With Headaches

What To Do About Blurred Vision After A Car Accident Aica Orthopedics

What To Do About Blurred Vision After A Car Accident Aica Orthopedics

Mystery Case Migraine Hearing Loss And Blurred Vision In A Young Woman Neurology

Mystery Case Migraine Hearing Loss And Blurred Vision In A Young Woman Neurology

Zooming Closeup View Frontal Plain Coronal Stock Photo 1115730110 Shutterstock

Zooming Closeup View Frontal Plain Coronal Stock Photo 1115730110 Shutterstock

How Much Does A Brain Scan Cost Average Out Of Pocket Costs

How Much Does A Brain Scan Cost Average Out Of Pocket Costs

Bifrontal Headache Blurred Vision Vomiting Dx Mdedge Family Medicine

Bifrontal Headache Blurred Vision Vomiting Dx Mdedge Family Medicine

If You Ve Noticed That Your Vision Turns Hazy After A Meal You May Have An Early Stage Of Diabetes Mellitus Here S How Our Optometrist In Colchester Connecticut Can Help

If You Ve Noticed That Your Vision Turns Hazy After A Meal You May Have An Early Stage Of Diabetes Mellitus Here S How Our Optometrist In Colchester Connecticut Can Help

Mr Findings Of Cortical Blindness Following Cerebral Angiography Is This Entity Related To Posterior Reversible Leukoencephalopathy American Journal Of Neuroradiology

Mr Findings Of Cortical Blindness Following Cerebral Angiography Is This Entity Related To Posterior Reversible Leukoencephalopathy American Journal Of Neuroradiology

Girl Presents With Bilateral Blurry Vision Mild Headaches

Girl Presents With Bilateral Blurry Vision Mild Headaches

Hypothalamic Hamartoma Radiology Reference Article Radiopaedia Org

Hypothalamic Hamartoma Radiology Reference Article Radiopaedia Org

Diagnostics Free Full Text Value Of 18f Fdg Pet Ct For Assessment Of Advanced Lacrimal Sac Non Keratinizing Squamous Cell Carcinoma Successfully Treated With Concurrent Chemoradiotherapy Html

Diagnostics Free Full Text Value Of 18f Fdg Pet Ct For Assessment Of Advanced Lacrimal Sac Non Keratinizing Squamous Cell Carcinoma Successfully Treated With Concurrent Chemoradiotherapy Html

Case 8 1993 A 62 Year Old Cape Verdean Woman With Blurred Vision Diplopia A Suprasellar Mass And Lymphocytic Meningitis Nejm

Case 8 1993 A 62 Year Old Cape Verdean Woman With Blurred Vision Diplopia A Suprasellar Mass And Lymphocytic Meningitis Nejm

Traumatic Brain Injury With A Normal Ct Scan

Traumatic Brain Injury With A Normal Ct Scan

Vitreous Hemorrhage Radiology Case Radiopaedia Org

Vitreous Hemorrhage Radiology Case Radiopaedia Org

Non Contrast Ct Head For The Em Physician Nuem Blog

Non Contrast Ct Head For The Em Physician Nuem Blog

Blurry Vision 10 Reasons For Blurred Vision Treatment Buoy

Blurry Vision 10 Reasons For Blurred Vision Treatment Buoy

1

1

After reviewing the literature a personal series of 10 adult patients with cerebellar infarction diagnosed by CT scan is described.

Changes in vision associated with brain tumours can include blurred vision for example you may find it has become difficult to watch TV or read. Had an accident affecting your eyes. Do i need an. The bowel moves in a particular way during digestion called peristalsis. You should not have blurry vision. Possible causes include Malignant Neoplasm of the Pancreas. The following day I was taking for a CT Scan at breakfast time to check the issue with my eyes. Answer 1 of 4. Case Report A 76-year-old man with a history of hypertension was admitted with a.


That movement can occur a few ways. The following day I was taking for a CT Scan at breakfast time to check the issue with my eyes. But with these exams doctors and. TBI-related vision defects can. When i wake up i have doubleblurred vision in left eye. Thankfully the CT scan came back clear and the Doctors put the blurred vision. After reviewing the literature a personal series of 10 adult patients with cerebellar infarction diagnosed by CT scan is described.

Post a Comment for "Blurred Vision After Ct Scan"